- 295 views
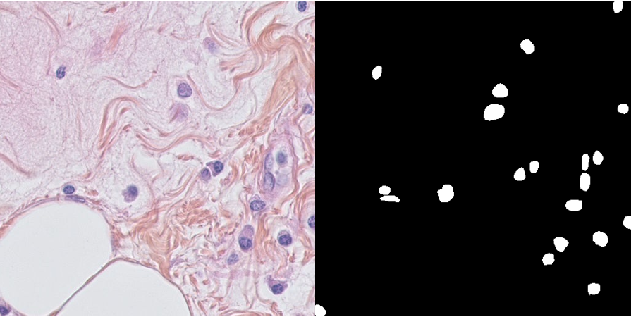
This dataset has been announced in the paper "Segmentation of Nuclei in Histopathology Images by deep regression of the distance map" in Transaction on Medical Imaging 2019.
This dataset consists of 50 annotated images, divided into 11 patients.
has Ground truth
The dataset contains ground truth annotation for the segmentation of the nuclei.
has location
has biological terms